La glomerulonefrite rapidamente progressiva, denominata anche glomerulonefrite a semilune o glomerulonefrite subacuta, è una patologia infiammatoria dei glomeruli caratterizzata da rapido deterioramento della funzione renale (notevole incremento della creatinina plasmatica con oliguria o anuria) e dal frequente reperto, alla biopsia renale, di caratteristiche immagini a semiluna all'interno della capsula di Bowman.
Epidemiologia
Colpisce prevalentemente le persone di età adulta (20-50 anni), uomini e donne in ugual misura.
Numerose malattie possono provocare una glomerulonefrite rapidamente progressiva. Esse si possono suddividere in tre gruppi:
- Gruppo I (10-30% del totale). Caratterizzato dalla presenza di anticorpi, circolanti nel sangue o depositati all'interno dei glomeruli, diretti contro una componente fondamentale degli stessi, la membrana basale glomerulare (la principale responsabile del processo di filtrazione renale). Di questo gruppo di patologie fa parte la sindrome di Goodpasture, una grave malattia che colpisce il rene ed il polmone.
- Gruppo II (20-30%). Anche in questo caso si formano anticorpi diretti contro componenti del rene, ma questi si legano all'antigene (la sostanza contro la quale sono diretti) formando i cosiddetti immunocomplessi. Questo gruppo comprende le glomerulonefriti postinfettive (ad esempio la post-streptococcica), le forme vascolari (nefrite lupica, porpora di Schönlein-Henoch) ed alcune glomerulonefriti provocate da farmaci quali rifampicina, D-penicillamina, idralazina e allopurinolo.
- Gruppo III (circa 50%). È provocato da particolari anticorpi detti ANCA (anti-citoplasma dei neutrofili) ed i danni riguardano in particolar modo i piccoli vasi sanguigni, con un quadro di vasculite. Fra queste è importante citare la granulomatosi di Wegener e la poliarterite nodosa.
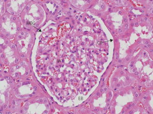
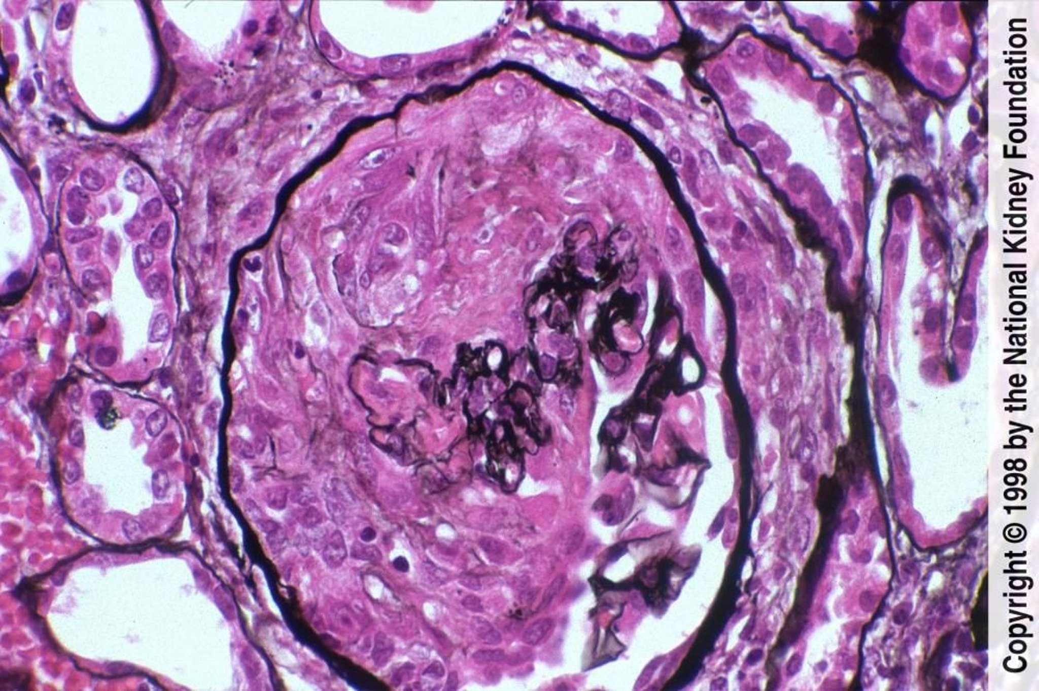
Anatomia Patologica
Al microscopio ottico, la malattia è caratterizzata dalla presenza delle semilune, che si formano in seguito alla proliferazione dell'epitelio parietale del glomerulo e alla flogosi concomitante, che porta a un infiltrato di cellule infiammatorie (soprattutto monociti e macrofagi) nello spazio di Bowman. In alcuni casi è possibile osservare proliferazione dell'endotelio o del mesangio.
Al microscopio elettronico si osservano spesso depositi immuni tra l'epitelio e la membrana basale, che in tutti i casi appare colpita da distruzioni focali.
All'immunofluorescenza si possono trovare aspetti diversi a seconda dell'eziologia: nei casi postinfettivi si osservano depositi immuni granulari, nelle forme da anticorpi anti-MBG (sindrome di Goodpasture) i depositi sono lineari, mentre nei casi idiopatici o associati a vasculite i depositi sono spesso assenti.
Con il tempo le cellule che formano le semilune tendono ad essere sostituite da tessuto fibroso.
Sintomatologia
- Nel gruppo I sono spesso presenti una riduzione della quantità di urine prodotte (fino alla sua scomparsa, detta anuria, nei casi più gravi) e lieve aumento della pressione arteriosa; l'esordio può essere preceduto da un episodio simil-influenzale con febbre, dolori muscolari e articolari. L'eventuale comparsa di emorragie polmonari è diagnostica per la sindrome di Goodpasture, che comunque deve essere sempre esclusa mediante radiografia del torace ed esame dell'espettorato.
- Nel gruppo II, che interessa soprattutto adulti e anziani, si osservano spesso febbre, ipertensione e malessere generale, oltre ai segni e sintomi della malattia di base.
- Nel gruppo III sono frequenti febbre, dolori addominali, dolori articolari e dimagrimento.
Diagnosi
In tutti i casi si osserva un rapido peggioramento della funzione renale con oliguria (produzione di urine inferiore a 500 ml/24 h) o anuria (produzione di urine assente o inferiore a 100 ml/24 h). A questa si associa inevitabilmente un rapido incremento della creatinina sierica, che indica una grave compromissione nella funzione di filtrazione del rene. Altri reperti differiscono a seconda della patologia di base:
- Nel I gruppo si ha sempre positività degli anticorpi anti-MBG; ad essa si associa la presenza di microematuria e proteinuria di entità variabile.
- Nel II gruppo si possono riscontrare nel siero immunocomplessi, crioglobuline, anticorpi antistreptolisina o anti-dsDNA, riduzione delle frazioni del complemento (C4 e C3), talvolta piastrinopenia e segni di anemia emolitica microangiopatica.
- Nel III gruppo, nel 70-80% dei casi, si riscontrano anticorpi ANCA.
Per la diagnosi di certezza è però necessaria la biopsia renale.
Terapia
Vista la rapida evoluzione della malattia, è necessario iniziare tempestivamente la terapia. I farmaci più utilizzati sono i corticosteroidi (in particolare metilprednisolone) somministrati per via endovenosa e farmaci immunosoppressori come ciclofosfamide, azatioprina e micofenolato mofetile.
Prognosi
In assenza di terapia, il decorso clinico è caratterizzato da un rapido peggioramento dell'insufficienza renale. Alcuni reperti istologici, come la presenza di semilune a circonferenza, la fibrosi dei glomeruli e gli infiltrati tubulo-interstiziali sono associati ad una prognosi peggiore, così come la persistenza dell'oligo-anuria. Alcuni autori, comunque, descrivono un miglioramento della prognosi della malattia rispetto al passato, dovuto soprattutto alla tempestività della terapia. La maggiore mortalità si riscontra nella forma pauciimmune (gruppo III): alcuni autori riportano una mortalità del 33% a 4 anni dall'esordio.
Note
Bibliografia
- Research Laboratories Merck, The Merck Manual quinta edizione, Milano, Springer-Verlag, 2008, ISBN 978-88-470-0707-9.
- Robbins&Cotran "Le basi Patologiche delle malattie" 7ª edizione ISBN 8885675530
- F.P. Schena, F.P. Selvaggi, L. Gesualdo, M. Battaglia, Malattie del rene e delle vie urinarie, 4ª ed., McGraw-Hill, 2008, ISBN 978-88-386-2397-4.
Voci correlate
- Glomerulonefrite
- Glomerulonefrite membranosa
- Sindrome nefrosica
- Malattia di Alport
- Glomerulonefrite post-infettiva
Altri progetti
- Wikimedia Commons contiene immagini o altri file su glomerulonefrite rapidamente progressiva



